CARACTERÍSTICAS
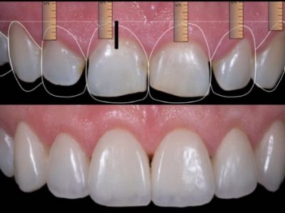
Simplifica los procedimientos de cirugía plástica gingival para devolver la armonía a las sonrisa y reduce de manera significativa los tiempos de ejecución y recuperación. El nuevo diseño permite realizar alargamiento de coronario estético mínimamente invasivo, corrigiendo sonrisas de manera muy simple, mejorando la precisión de los procedimientos, con mínimo trauma, evitando los efectos adversos de los procedimientos convencionales, reduciendo los tiempos de operación y de recuperación post-operatorio.
Inserto Compatible con Equipos Mectron & WoodPecker.
Procedimiento preciso con mínimo trauma
Reducido periodo de convalecencia
Sin colgajo
Un mes para rehabilitación final
Un mes para rehabilitación final
PROCEDIMIENTO
Poner solución salina (suero) en el recipiente del equipo PROrthodontics mezclada con clorhexidina, en proporción 50/50%.
Marcar el nuevo contorno de encía determinado, usando la guía de referencia aprobada con plumón o con una sonda.
Realizar el recorte gingival, sin levantamiento de colgajo. La incisión debe ser de bisel interno manteniendo las papilas gingivales.
Se posiciona la cabeza del inserto con la superficie lisa apoyada en pieza dentaria. Activación del equipo presionando el pedal e introducir la cabeza del inserto que debe quedar cubierta por el tejido blando, 2mm bajo el borde gingival. Realizar movimientos en sentido mesio-distal (similar a un de limpia parabrisas), sacando continuamente el inserto para asegurar buena irrigación. Este movimiento permite la regularización del tejido óseo.
Erupción pasiva alterada (corona clínica corta, papilas de base ancha y no festoneadas).
Requerimiento estético del paciente por exceso de exposición gingival, dientes cortos.
Invasión de espacio biológico por caries, fracturas.
Patologías que afecten el periodonto.
Relación corono radicular menor a 1:1.
Encía adherida menor o igual a 2 mm.
United States Patent Nº 9.248.004
DESARROLLADO POR
